脑转移、骨转移、无靶点…她用精准放疗改写“重生剧本”

41岁的王女士,原本正值人生的金色年华,却在2022年的秋天,被一纸“肺腺癌伴颅内多发转移”的诊断书,猝不及防地推入了命运的深渊。头痛欲裂、行走不稳,当“颅内多发占位”和“肺腺癌IVa期”这些冰冷的字眼成为她必须面对的现实时,她的人生仿佛被按下了暂停键。

幸运的是,在广州中医药大学金沙洲医院国际精准肿瘤中心,她遇到了聂大红教授团队。一场与死神的赛跑就此展开,而先进的精准放疗技术与个体化的综合治疗方案,最终为她撕裂了黑暗,让生命之光重新照进现实。


1.png


突遇重疾 晚期癌症多处转移


2022年10月,持续的头痛让王女士备受折磨,伴随而来的还有走路摇晃、轻微咳嗽。起初,她只当作寻常小恙,并未放在心上。然而,医院的CT检查结果击碎了所有侥幸:颅脑显示,左侧颞叶、右侧额叶、顶叶等多处出现异常信号,考虑为多发脑转移瘤,肿瘤压迫导致左侧侧脑室变形,并伴有脑水肿;胸部则发现右肺下叶有肺癌病灶,且已发生肺门、纵隔淋巴结转移。随后的病理活检,确诊为肺腺癌。更令人揪心的是,当时的基因检测结果为"未见敏感突变”,这意味着她无法从疗效显著的靶向治疗中获益。


DSC04547.JPG


“当时朋友说金沙洲医院的医术和设备都是顶尖的,热心地介绍我来,我立刻就转了过来,一分钟都不敢耽误。”经过多方打听,王女士在朋友的鼎力相助下,她毅然来到广州中医药大学金沙洲医院国际精准肿瘤中心,寻求那一线生机。


精准施策 多学科方案筑牢防线


面对王女士复杂的病情,聂大红教授团队第一时间展开了多学科会诊全面的病情评估,为王女士共同制定了精准个体化综合治疗方案。


图片

考虑到颅内多发转移瘤已引发明显的压迫症状,若不及时控制,将严重威胁生命。聂大红教授果断决定,首先以精准放疗为“急先锋”,直击颅内病灶。

图片


2.png
放疗靶区勾画示意图


采用国际领先的立体定向放疗设备——超弧刀HyperArc技术,精准覆盖了双侧小脑半球及各脑叶的转移灶,在给予肿瘤细胞毁灭性打击的同时,通过精确的剂量调控,将脑干、视交叉等关键正常组织的受照剂量严格控制在安全范围内,最大程度保护了神经功能。


微信图片_2026-03-02_155204_684.png

HyperArc超弧刀治疗


在颅内放疗的基础上,针对王女士肺部原发病灶体积大、淋巴结转移广泛,且无靶向治疗机会的特点,团队遵循中晚期癌症的综合治疗原则,为她量身打造了“化疗+免疫”的系统治疗方案。自2022年11月起,王女士开始了周期性的化疗联合免疫治疗,共计完成6个疗程。治疗期间,她曾因自觉好转而自行服用中药,不幸诱发癫痫,所幸团队及时介入,调整方案,确保了系统性治疗的完整与安全。


图片


2023年6月,振奋人心的消息传来:王女士的复查结果显示,颅内大部分肿瘤已完全消失,仅个别病灶呈囊性变;肺部病灶与转移的淋巴结也显著缩小;肿瘤标志物如癌胚抗原等关键指标大幅下降,部分已恢复正常。然而,聂大红教授团队并未因此松懈,考虑到肺部仍有残留病灶,存在复发风险,他们又及时为王女士制定了针对肺部残留病灶的姑息性放疗方案,以巩固疗效。在此期间,免疫治疗持续进行,构筑起一道坚固的抗癌防线。

王女士回忆道:“放化疗都是同步进行的,开始还担心会吐,会很不舒服,没想到什么反应都没有,感觉挺好的。放疗也很快,躺下几分钟就结束了,设备很先进,没有什么不舒服。” 她口中的先进设备,正是采用了高精度的颅脑克星——超弧刀

图片


卷土重来 再程放疗破解复发难题


抗癌之路,从来不是坦途。2024年9月,王女士因癫痫再次发作入院,头颅检查发现,右侧颞叶出现了新的脑转移瘤,并合并瘤内出血。癌症的复发,让她再度陷入焦虑。聂大红教授团队迅速评估新发病灶,综合考虑病灶位置及王女士的身体状况后,果断决定采用调强放疗技术进行再程放疗,精准覆盖右颞叶转移灶,再次实现肿瘤的精准清除。


3.png


图片

此次放疗后,团队坚持对王女士进行严密随访。2025年7月的最新复查结果令人欣喜:右侧颞叶的新发转移灶几乎完全消失,既往颅内放疗后的病灶仅存轻微囊性变等治疗后改变,无任何明确的实性肿瘤残留;肺部病灶则几乎完全消退,且未出现放射性肺炎、免疫性肺炎等常见并发症,肿瘤标志物也持续维持在理想水平。



“现在感觉棒极了!走路稳了,不咳了,头晕这些全没了。复查说肿瘤缩小了很多,原来脑子里有五六个病灶,现在就剩一个了。这儿的治疗技术和设备真的很顶尖,能恢复得这么好,真的特别感谢医院和医生。”如今的王女士,早已摆脱了患病时的一切不适,没有任何神经系统损伤的后遗症,生活质量与健康人无异。这场历时千余天的生命保卫战,终于迎来了阶段性的辉煌胜利。


生命向阳 精准医疗诠释医者温度


从2022年10月确诊晚期肺腺癌伴颅内多发转移,到2025年7月实现病灶的临床完全缓解,一千多个日夜的博弈,王女士的“重生”,既源于她自身的坚韧与勇气,更离不开聂大红教授团队的精准施策与专业守护。

图片

聂大红教授深耕恶性肿瘤放射治疗领域多年,尤其擅长头颈部、胸部及盆腔肿瘤的精确放疗。在他的带领下,团队始终坚持“精准放疗 + 多学科综合治疗”的核心理念,依托立体定向放疗、化疗、免疫靶向、微创介入、肿瘤热疗等国际先进技术,为中晚期癌症患者打开一扇扇生命之窗。

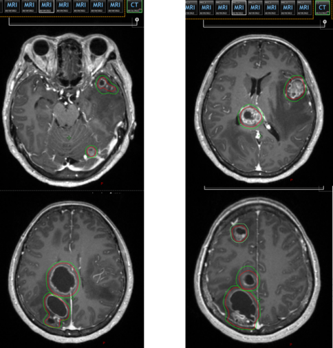
图片
患者病灶变化图


在王女士的整个治疗过程中,团队始终以患者为中心,根据病情演变灵活调整策略:从最初的紧急颅内放疗,到后续的化疗免疫联合治疗,再到肺部残留病灶的巩固放疗,以及复发后的再程精准放疗,每一步都环环相扣、精准把控。不仅用顶尖的医疗技术为患者击退病魔,更用关怀与耐心抚平患者内心的惊涛骇浪,让王女士在抗癌的漫漫长夜中,始终能感受到温暖与希望。


图片
王女士的案例,是广州中医药大学金沙洲医院聂大红教授团队在中晚期肺癌综合治疗领域的一次成功探索,也为众多面临癌症远处转移困境的患者,提供了极具价值的治疗范本。
图片


它有力地证明:即使是晚期癌症,即使出现多处转移,只要拥有精准的治疗策略、先进的医疗技术和医患双方的并肩作战,就完全有可能打破“死亡宣判”,让生命之花重新绽放。而聂大红教授团队也将继续秉持这份初心,以精准放疗为矛,以综合治疗为盾,为更多肿瘤患者点亮生命之光,在抗癌的征途上坚定前行。


图片




图片


聂大红  

硕士生导师/主任医师  


社会头衔

中山大学附属第一医院放疗科首任科主任

广东省放射卫生技术评审专家

广州抗癌协会肿瘤放射外科专委会副主委

广东省健康管理学会乳腺病学专委会副主委

广东省抗癌协会放疗专业委员会委员

中国抗癌协会肿瘤微创治疗专业委员会委员


专业擅长

擅长头颈部、胸部、盆腔恶性肿瘤的精确放射治疗,如三维适形、立体定向、调强放疗等技术;熟练掌握并开展了术中放疗、放射性碘-125粒子植入新技术。对中晚期恶性肿瘤的综合治疗具有较丰富的经验。




診療方案評估申請
患者姓名 *
癌癥類型 *
電話號碼 *
患者年齡
Email
病情描述
logo-medical